The Secure AI Platform for Clinical Imaging

Launch App View Live Demo

Transforming Clinical Imaging Workflows

From zero-footprint viewing to AI-driven analysis and advanced 3D visualization, DICOM Vision streamlines diagnostic workflows across radiology and clinical departments. Built for scalability and secure integration within hospital infrastructures, it enables faster clinical decisions, improved collaboration, and efficient management of medical imaging data.

ISO 13485 – Quality Management System for Medical Devices (IMQ Certified) View certificate (PDF)
ISO 13485 – Quality Management System for Medical Devices (IMQ Certified)

Application Fields

DICOM Vision's zero-footprint viewer, AI capabilities, 3D visualization, and secure access to medical images enhance the quality of patient care, research, teaching, and diagnostic accuracy. Its flexibility and adaptability make it a valuable asset for professionals in various healthcare-related fields.

Radiology

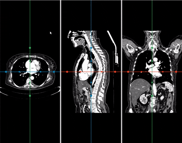
DICOM Vision is well-suited for radiology practices, allowing radiologists to view and analyze medical images such as X-rays, CT scans, and MRIs with ease. Its advanced features, like 3D visualization and AI integration, enhance diagnostic capabilities.

Surgical Planning

Surgeons can use DICOM Vision to plan surgeries more effectively by visualizing patient-specific anatomical structures and pathology in 2D and 3D. This aids in preoperative assessment and strategizing.

Research

Medical researchers can utilize DICOM Vision to access and analyze large sets of medical imaging data. The AI capabilities assist in automating certain tasks, while 3D visualization can help in understanding complex anatomical relationships.

Education

In medical education, DICOM Vision is a valuable tool for teaching anatomy and diagnostic skills. It allows educators to demonstrate real clinical cases to students, fostering a better understanding of medical imaging.

Telemedicine

DICOM Vision's remote collaboration features are particularly beneficial in telemedicine. Healthcare providers can share and discuss medical images with colleagues and specialists across distances, making telemedicine consultations more effective.

Veterinary

The application of DICOM Vision extends to veterinary medicine. Veterinarians can use the viewer for diagnosing and planning treatment for animals, particularly for conditions that require imaging, like fractures and internal diseases.

ZERO-FOOTPRINT VIEWER

This means that no additional software or plugins need to be installed on the user's device. The viewer can be accessed through a web browser, making access to medical images extremely convenient and flexible.

DICOM STORAGE AND DISPLAY

DICOM Vision is designed to handle medical images in the DICOM format, which is a widely used standard in the field of medical imaging. It can store and display a wide range of diagnostic images, including X-rays, CT scans, MRIs, ultrasounds, and more.

PACS INTEGRATION

DICOM Vision supports PACS storage and communication, making it a seamless solution for healthcare facilities that rely on PACS systems to manage and distribute medical images efficiently. This ensures easy integration with existing infrastructure and simplifies the sharing and retrieval of patient data within healthcare networks.

REMOTE COLLABORATION

One of the key features of DICOM Vision is its ability to support remote collaboration. Healthcare professionals can easily share images with colleagues or specialists around the world, enabling quicker and more convenient consultation and second opinions.

ARTIFICIAL INTELLIGENCE

The viewer can integrate artificial intelligence (AI) features for automatic image analysis. This may include anomaly detection, anatomical structure segmentation, and other advanced AI applications for image interpretation.

DICOM Vision 3D volume rendering of medical imaging data – CT and MRI visualization

2D AND 3D VIEWS

The viewer supports not only 2D image views but also advanced 3D views. This is particularly useful for creating three-dimensional models from imaging data, allowing for a better understanding of anatomical structures.

MEASUREMENT TOOLS

DICOM Vision offers a range of measurement tools that allow users to make precise measurements directly on images. This is essential for diagnostic and patient monitoring purposes.

Clinical Partners

Strategic & Institutional Partners